A cell is the smallest living organism and the basic unit of life on Earth. Together, trillions of cells make up the human body. Cells have three parts: membrane, nucleus and cytoplasm.
A cell is the smallest living organism and the basic unit of life on Earth. Together, trillions of cells make up the human body. Cells have three parts: membrane, nucleus and cytoplasm.
People can think of cells as small packages that contain small factories, warehouses, transportation systems, and power plants. They work by themselves, make their own energy and reproduce by themselves: the cell is the smallest unit of life that can replicate. Cells are the basic units of life.
The body contains trillions of cells and they vary widely in size, number, structure and function.
Cells also communicate with each other. Whether in plants, humans or animals, they combine to form a solid, well-formed organism. In humans, cells make up tissues, tissues make up organs, and organs work together to keep the body alive.
Cells were first discovered by Robert Hooke in the 17th century. He gave them their name because they resembled a “cella,” the Latin term for “small room” where monks lived in monasteries.
Cell Components:
Cell Component
Function
Cell Membrane
Provides a barrier between the cell and its external environment, controls the entry and exit of substances.
Nucleus
Contains genetic material (DNA), controls cellular activities, including growth and reproduction.
Cytoplasm
Gel-like substance filling the cell, supports organelles, and is the site of various cellular activities.
Endoplasmic Reticulum (ER)
Rough ER is involved in protein synthesis and transport; smooth ER is involved in lipid synthesis and detoxification.
Ribosomes
Sites for protein synthesis.
Golgi Apparatus
Modifies, sorts, and packages proteins for secretion or delivery to other organelles.
Mitochondria
Produces energy (ATP) through cellular respiration.
Lysosomes
Contains digestive enzymes, breaks down waste materials and cellular debris.
Centrioles
Involved in organizing microtubules during cell division (mitosis and meiosis).
Cytoskeleton
Network of protein filaments and tubules that provide structural support and facilitate intracellular transport.
Muscle cells, or myocytes, are specialized cells responsible for generating force and movement.
Types
Skeletal muscle cells (striated and voluntary), smooth muscle cells (non-striated and involuntary), cardiac muscle cells (striated and involuntary).
Structure
Elongated cells containing contractile proteins (actin and myosin) organized into sarcomeres.
Function
Contraction to produce movement, stabilize body position, generate heat, move substances within the body.
Skeletal Muscle Location
Attached to bones by tendons; forms the bulk of muscle tissue in the body.
Smooth Muscle Location
Found in the walls of hollow organs (e.g., digestive tract, blood vessels).
Cardiac Muscle Location
Exclusive to the heart, forming the myocardium.
Control
Skeletal muscle: Voluntary control via somatic nervous system. Smooth muscle: Involuntary control by autonomic nervous system. Cardiac muscle: Involuntary control by pacemaker cells and autonomic nervous system.
Nucleus
Skeletal and cardiac muscle: Multinucleated. Smooth muscle: Single nucleus.
Regulation of Contraction
Calcium ions trigger contraction by interacting with proteins in the sarcomere.
Endurance
Skeletal muscle: High endurance, fatigue-resistant. Smooth muscle: Moderate endurance. Cardiac muscle: High endurance, fatigue-resistant.
Regeneration Capacity
Limited in skeletal and cardiac muscle. Smooth muscle has some regenerative capacity.
Specializations
T-tubules and sarcoplasmic reticulum in skeletal and cardiac muscle for excitation-contraction coupling.
Gap Junctions
Present in cardiac muscle to allow electrical coupling and coordinated contraction.
Sensory neurons (carry sensory information), motor neurons (control muscle movement), interneurons (facilitate communication between neurons).
Function
Transmit electrical signals (action potentials) along their axons to communicate with other neurons, muscles, or glands.
Location
Found throughout the nervous system: brain, spinal cord, and peripheral nerves.
Nucleus
Single nucleus located in the cell body.
Dendritic Spines
Small protrusions on dendrites, where synaptic connections with other neurons occur.
Myelin Sheath
Insulating layer around some axons, formed by Schwann cells (peripheral nervous system) or oligodendrocytes (central nervous system). Increases the speed of signal transmission.
Synaptic Transmission
Process by which neurotransmitters are released from axon terminals and received by dendrites of neighboring neurons.
Action Potential
Electrical signal propagated along the axon membrane, triggered by a threshold stimulus.
Resting Membrane Potential
Voltage difference across the neuronal membrane when the cell is at rest, typically around -70 millivolts (mV).
Neurotransmitters
Chemical messengers released by neurons to transmit signals across synapses to other neurons, muscles, or glands.
Polarization
Neurons maintain an electrical charge difference across their membrane, creating a polarized state.
Depolarization
Temporary reversal of the electrical charge across the neuronal membrane during the generation of an action potential.
Repolarization
Restoration of the normal electrical charge distribution across the neuronal membrane after depolarization.
Hyperpolarization
Increase in the electrical charge difference across the neuronal membrane, making the inside more negative than the resting potential.
Blood Cells:
Aspect
Description
Types
Red blood cells (erythrocytes), white blood cells (leukocytes), and platelets (thrombocytes).
Function
Red blood cells: Transport oxygen and carbon dioxide. White blood cells: Part of the immune system, defending against pathogens. Platelets: Involved in blood clotting and wound healing.
Origin
Produced in the bone marrow through hematopoiesis (the process of blood cell formation).
Lifespan
Red blood cells: About 120 days. White blood cells: Varies by type (hours to years). Platelets: About 7-10 days.
Structure
Red blood cells: Biconcave discs lacking a nucleus, filled with hemoglobin. White blood cells: Varied structures depending on type (granular or agranular). Platelets: Small cell fragments lacking a nucleus.
Quantity
Red blood cells: Most abundant, millions per microliter of blood. White blood cells: Much fewer than red blood cells, thousands per microliter. Platelets: Much fewer than white blood cells.
Regulation
Controlled by various factors including erythropoietin (for red blood cells) and cytokines (for white blood cells).
Transportation
Red blood cells: Transport oxygen from the lungs to tissues and carbon dioxide from tissues to the lungs. White blood cells: Move within blood vessels and can migrate into tissues to fight infections. Platelets: Form blood clots to stop bleeding.
Types of White Blood Cells
Granulocytes: Neutrophils, eosinophils, basophils. Agranulocytes: Lymphocytes (T cells, B cells, NK cells), monocytes.
Role in Immunity
White blood cells play a central role in the body’s defense against infections and foreign invaders.
Regulation of Blood Volume
Platelets participate in hemostasis, maintaining blood volume and preventing excessive bleeding.
Also known as erythrocytes, these cells are the most abundant cells in the blood. They contain hemoglobin, which carries oxygen from the lungs to the body’s tissues and removes carbon dioxide from the tissues to the lungs for exhalation.
White Blood Cells (WBCs)
Also called leukocytes, these cells are part of the body’s immune system and help defend against infections and foreign substances. There are several types of white blood cells, including neutrophils, lymphocytes, monocytes, eosinophils, and basophils.
Platelets
Also known as thrombocytes, platelets are small cell fragments that are crucial for blood clotting (hemostasis). When blood vessels are damaged, platelets aggregate at the site of injury to form a blood clot, preventing excessive bleeding.
Connective Tissue Cells:
Cell Type
Description
Fibroblasts
The most common cells in connective tissue. Fibroblasts produce and maintain the extracellular matrix, including collagen, elastin, and ground substance. They play a crucial role in wound healing and tissue repair.
Adipocytes
Also known as fat cells, adipocytes store energy in the form of fat. They also provide insulation and cushioning for organs and tissues. Excess accumulation of adipocytes leads to obesity.
Chondrocytes
Found in cartilage, chondrocytes produce and maintain the cartilaginous matrix, which provides support and flexibility to various structures in the body, such as joints, ears, and the nose.
Osteoblasts
Responsible for bone formation, osteoblasts synthesize and deposit the mineralized matrix of bone tissue. They play a crucial role in bone growth, remodeling, and repair.
Osteoclasts
Specialized cells involved in bone resorption, osteoclasts break down bone tissue by secreting enzymes and acids. This process is essential for bone remodeling, repair, and calcium homeostasis.
Mast Cells
Mast cells are involved in the inflammatory response and allergic reactions. They release histamine and other inflammatory mediators in response to injury or immune stimulation.
Macrophages
Phagocytic cells that engulf and digest cellular debris, pathogens, and foreign substances. Macrophages also play a role in immune defense, antigen presentation, and tissue repair.
Mesenchymal Stem Cells
Multipotent cells found in connective tissue that can differentiate into various cell types, including osteoblasts, chondrocytes, and adipocytes. They play a crucial role in tissue regeneration and repair.
Adipocytes (Fat Cells):
Aspect
Description
Definition
Adipocytes, also known as fat cells, are specialized cells primarily responsible for storing energy in the form of triglycerides (fat molecules).
Structure
Large, round cells with a single, large lipid droplet occupying most of the cell volume, surrounded by a thin layer of cytoplasm and nucleus.
Types
White adipocytes (store energy) and brown adipocytes (generate heat through thermogenesis).
Function
Energy storage, thermal insulation, cushioning organs and tissues, hormone production (e.g., leptin, adiponectin).
Location
Predominantly found in adipose tissue throughout the body, including subcutaneous (under the skin) and visceral (around organs) fat deposits.
Hormone Regulation
Produce and secrete hormones such as leptin (regulates appetite and metabolism) and adiponectin (regulates glucose levels and fatty acid breakdown).
Lipid Metabolism
Can undergo lipolysis (breakdown of stored fats) and lipogenesis (formation of new fat molecules from glucose and other substrates).
Endocrine Function
Serve as endocrine cells, releasing adipokines and other signaling molecules that influence metabolism, inflammation, and other physiological processes.
Expansion
Adipocytes can increase in size (hypertrophy) or number (hyperplasia) in response to excess energy intake, leading to weight gain and obesity.
Osteocytes:
Aspect
Description
Definition
Osteocytes are mature bone cells derived from osteoblasts that have become embedded within the mineralized matrix of bone tissue. They maintain bone tissue and regulate mineral homeostasis.
Structure
Star-shaped cells located in small cavities called lacunae within the bone matrix. They extend long, slender processes (cellular processes or dendrites) through tiny channels called canaliculi.
Function
Maintain bone tissue by monitoring and regulating mineral concentration, orchestrating bone remodeling, and participating in bone repair processes.
Communication
Communicate with neighboring osteocytes, osteoblasts, and osteoclasts via gap junctions and cell processes, facilitating the exchange of nutrients, signaling molecules, and waste products.
Mechanosensing
Detect mechanical strain and deformation of bone tissue, triggering cellular responses that regulate bone remodeling and adaptation to mechanical loads.
Mineral Homeostasis
Regulate the balance of calcium and phosphate ions within the bone matrix and surrounding fluids, contributing to bone mineralization and remodeling processes.
Hormonal Regulation
Respond to systemic hormones such as parathyroid hormone (PTH) and calcitonin, which influence bone metabolism and calcium homeostasis.
Lifespan
Osteocytes can persist for decades within the bone matrix, continually maintaining bone tissue integrity throughout an individual’s lifetime.
Chondrocytes:
Aspect
Description
Definition
Chondrocytes are specialized cells found in cartilage tissue responsible for maintaining the extracellular matrix and supporting cartilage structure and function.
Structure
Rounded or oval-shaped cells located within spaces called lacunae within the cartilage matrix. They are surrounded by an extracellular matrix rich in collagen and proteoglycans.
Function
Produce and maintain the cartilage matrix, including collagen fibers, proteoglycans, and other matrix components, contributing to cartilage elasticity, strength, and flexibility.
Types
Different types of chondrocytes exist based on their location within the cartilage: articular chondrocytes (in joint cartilage), fibrocartilage chondrocytes, and elastic cartilage chondrocytes.
Communication
Chondrocytes communicate with neighboring cells and exchange nutrients and waste products through diffusion within the cartilage matrix.
Matrix Turnover
Regulate the synthesis and degradation of the cartilage matrix, maintaining its integrity and adapting to mechanical stresses and growth signals.
Growth
Participate in cartilage growth and development during embryonic development and bone growth at growth plates (epiphyseal plates).
Repair
Play a role in cartilage repair processes, although cartilage repair is limited due to the avascular nature of cartilage tissue.
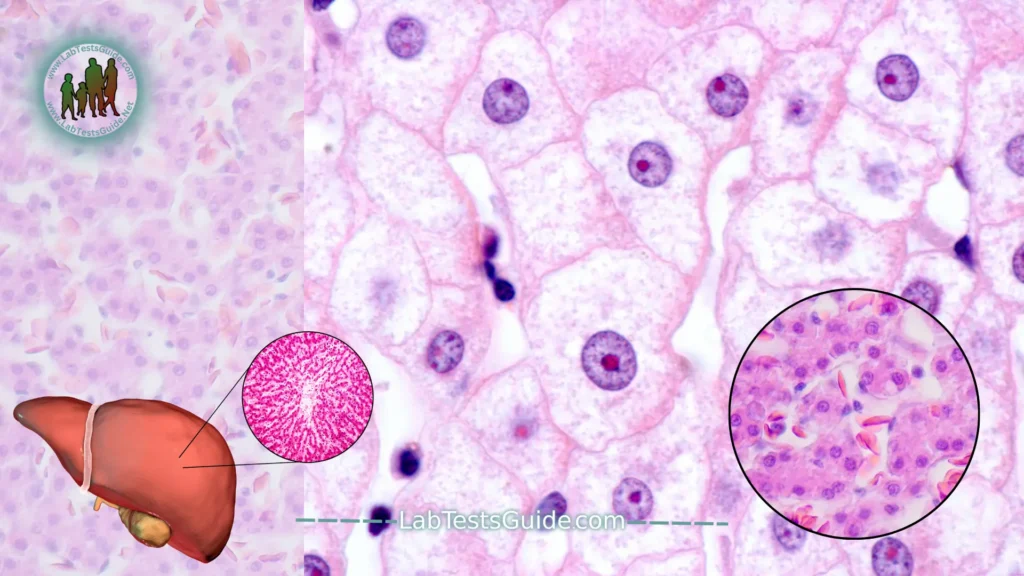
Hepatocytes:
Aspect
Description
Definition
Hepatocytes are the main functional cells of the liver, responsible for performing various metabolic, synthetic, and detoxification functions essential for maintaining homeostasis.
Structure
Polygonal-shaped cells arranged in plates or cords, with abundant cytoplasm containing numerous organelles, including mitochondria, endoplasmic reticulum, and Golgi apparatus.
Function
Metabolism of carbohydrates, lipids, and proteins; synthesis of bile salts, albumin, clotting factors, and other plasma proteins; detoxification of drugs and toxins; and storage of glycogen, vitamins, and minerals.
Detoxification
Hepatocytes metabolize and detoxify harmful substances by enzymatic processes, converting them into less toxic compounds that can be excreted from the body.
Bile Production
Synthesize and secrete bile, a fluid that aids in digestion and the absorption of fats and fat-soluble vitamins in the small intestine.
Metabolic Regulation
Maintain blood glucose levels by storing excess glucose as glycogen (glycogenesis) or releasing glucose into the bloodstream (glycogenolysis and gluconeogenesis).
Protein Synthesis
Produce various plasma proteins, including albumin, clotting factors (e.g., fibrinogen), and transport proteins essential for maintaining blood volume and composition.
Storage
Store glycogen, vitamins (e.g., A, D, B12), minerals (e.g., iron, copper), and other essential nutrients necessary for metabolic processes and bodily functions.
Regeneration
Hepatocytes possess a remarkable capacity for regeneration, allowing the liver to repair and replace damaged or lost tissue in response to injury or disease.
Skin Cells:
Cell Type
Description
Keratinocytes
The most abundant type of skin cell, making up the majority of the epidermis. Keratinocytes produce the protein keratin, which provides strength and waterproofing to the skin.
Melanocytes
Specialized cells located in the basal layer of the epidermis, responsible for producing the pigment melanin. Melanin protects the skin from the harmful effects of UV radiation.
Langerhans Cells
Dendritic cells found in the epidermis, acting as part of the immune system by detecting and presenting antigens to T cells, thereby initiating immune responses in the skin.
Merkel Cells
Mechanoreceptor cells found in the basal layer of the epidermis, involved in the sensation of touch and pressure. Merkel cells are associated with nerve endings in the skin.
Reproductive Cells:
Cell Type
Description
Sperm Cells
Male reproductive cells produced in the testes through spermatogenesis. Sperm cells are specialized for fertilization and contain genetic material (DNA) to contribute to offspring.
Ova (Eggs)
Female reproductive cells produced in the ovaries through oogenesis. Ova are larger than sperm cells and contain genetic material (DNA) necessary for fertilization and embryo development.
RBC Morphology:
Anisocytosis: Refers to red blood cells of unequal size.
Poikilocytosis: Presence of irregularly shaped red blood cells.
Microcytosis: Red blood cells that are smaller than normal.
Macrocytosis: Red blood cells that are larger than normal.
Hypochromia: Reduced hemoglobin content in red blood cells, leading to a pale appearance.
Normochromia: Normal hemoglobin content in red blood cells.
Spherocytosis: Red blood cells that are spherical rather than biconcave, leading to increased fragility.
Elliptocytosis: Red blood cells that have an elliptical or oval shape.
Drepanocytosis (Sickle Cell Disease): Presence of sickle-shaped red blood cells due to abnormal hemoglobin.
Target Cells (Codocytes): Red blood cells with a target-like appearance, often seen in conditions like thalassemia.
Acanthocytes: Red blood cells with spiky projections on their surface.
Burr Cells (Echinocytes): Red blood cells with small, uniform projections on their surface.
Teardrop Cells (Dacrocytes): Red blood cells with a teardrop shape, often seen in conditions like myelofibrosis.
Schistocytes: Fragmented red blood cells, often observed in conditions causing mechanical damage, such as microangiopathic hemolytic anemia.
Stomatocytes: Red blood cells with a mouth-like or slit-like central pallor.
Siderocytes: Red blood cells containing iron granules, seen in conditions with excess iron storage.
Basophilic Stippling: Presence of basophilic granules in red blood cells, often seen in lead poisoning.
Heinz Bodies: Denatured hemoglobin within red blood cells, associated with conditions like G6PD deficiency.
Howell-Jolly Bodies: Nuclear remnants within red blood cells, often seen in individuals without a functional spleen.
Rouleaux Formation: Stacking of red blood cells, typically seen in conditions with increased plasma proteins, such as multiple myeloma.
White Blood Cells (WBCs):
White blood cells (WBCs), also known as leukocytes, are crucial components of the immune system. Here’s a list of the main types of white blood cells:
Neutrophils: Phagocytic cells that engulf and destroy bacteria and other pathogens. They are the most abundant type of white blood cell and are essential for combating bacterial infections.
Agglutination
Alder Reilly
Blue-Green Inclusions
Cryoglobulins
Dohle Bodies
Drumsticks
Hemozoin
Howell-Jolly like
Hypergranulation
Hypogranulation
Hypersegmentation
Hyposegmentation
Macropolycyte
May Hegglin
Pelger-Huët
Vacuoles
Lymphocytes: Play a central role in adaptive immunity, including the production of antibodies (B cells) and the direct killing of infected or abnormal cells (T cells). They are further categorized into: B cells: Responsible for producing antibodies that target specific pathogens. T cells: Directly attack infected or abnormal cells and regulate the immune response.
Binuclear
Turtle shell
Hairy Cells
Crystals
Smudged
Mott Cells
Plasmacytoid
Reactive
Sézary
Vacuoles
Monocytes: Large phagocytic cells that circulate in the bloodstream before migrating into tissues, where they differentiate into macrophages or dendritic cells. They play a key role in engulfing and digesting pathogens, dead cells, and debris.
Erythrophagocytosis
Vacuoles
Eosinophils: Involved in allergic reactions and defense against parasitic infections. Eosinophils release cytotoxic substances to destroy parasites and modulate the immune response.
Hypersegmentation
Basophils: Release histamine and other mediators involved in inflammation and allergic responses. They play a role in combating parasitic infections and regulating the immune response.
Hypersegmentation
Hypogranulation
Mast cells: Similar to basophils, mast cells release histamine and other inflammatory mediators in response to allergens and pathogens. They are primarily found in connective tissues and mucosal membranes.
The website covers a wide range of lab tests, including blood tests, urine tests, stool tests, and imaging tests such as X-rays and CT scans. It also provides information about different health conditions and diseases, as well as tips for maintaining good health.
It's important to note that while labtestsguide.com may provide valuable information about lab tests and their interpretation, it's always best to consult with a healthcare professional if you have any concerns or questions about your lab results. We can provide personalized guidance and advice based on your individual health status and medical history.